The Benefits
To patients, the benefits are obvious. To your practice, they’re invaluable.
The Perio Protect Method effectively addresses gum disease while enabling you to refer patients to yourself.
The Benefits
To patients, the benefits are obvious. To your practice, they’re invaluable.
The Perio Protect Method effectively addresses gum disease while enabling you to refer patients to yourself.
The Benefits
To patients, the benefits are obvious. To your practice, they’re invaluable.
The Perio Protect Method effectively addresses gum disease while enabling you to refer patients to yourself.
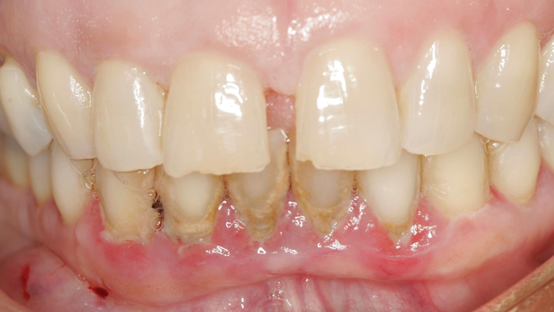
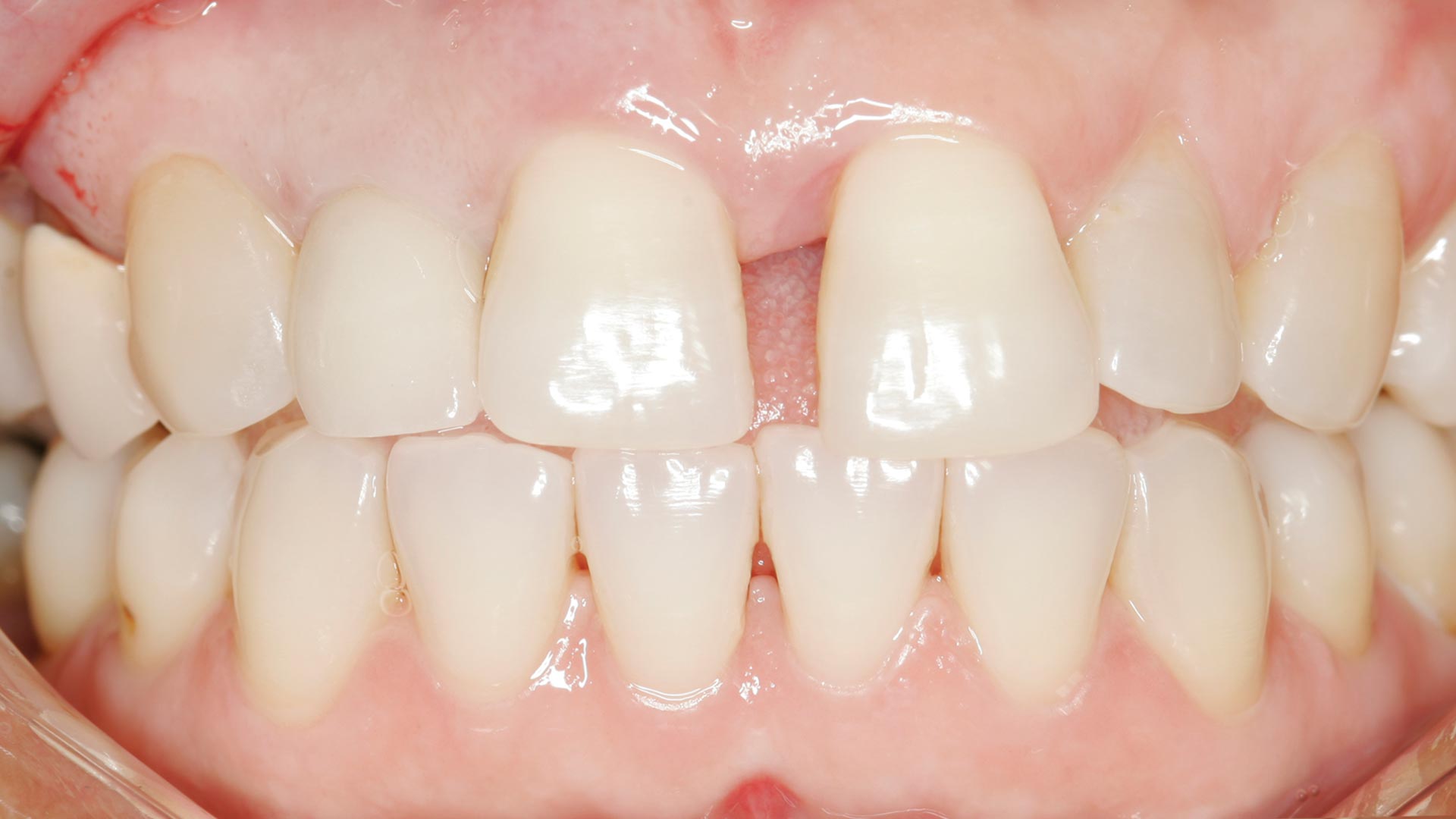
Help patients fight gum disease from the comfort of home.
Custom-made Perio Trays® are designed to deliver treatment deep into periodontal pockets for 10-15 minutes at a time. That means patients can address infections while getting ready in the morning, while walking the dog, while reading a book—while not worrying about technique or proper form.
There’s a connection between gum disease and systemic disease. It’s called your bloodstream.
The Perio Protect Method effectively treats periodontal inflammation at the source. It’s smart dentistry to treat the cause of disease and it’s so important to patient health. From heart disease to premature birth and dementia, bacteria present in infected gums have been traced to other inflammatory conditions. By reducing pathogenic bacteria in the mouth, Perio Protect gives patients a fighting chance to get healthier and stay healthier.


A long-term study has shown a 75% reduction in bleeding among Perio Protect Patients.
Fits into your practice and your patients’ lives.
Perio Protect can be prescribed as a complement to other treatment methods, including laser therapy and surgery, to maintain your laser or surgical gains. It can also be implemented as a preventative measure to maintain healthy bacteria in the mouth. The versatility of Perio Protect, however, is most evident in how it is prescribed and delivered. Your team can simply take an impression, send it off, receive and deliver Perio Trays and Perio Gel to your patient to self-administer daily at home.
Even the side effects are appreciated.
When patients see results and favorable side effects, like fresh breath and whiter teeth, they tend to stick to their treatment regimen. They also tend to credit the practice that prescribed the treatment.

And everyone knows word-of-a-healthy-mouth recommendations go a long way for a dental practice. Healthy gums, fresher breath and whiter teeth all lead to happier patients. Not to mention the devastating costs that can be avoided by preventing disease progression.
99% of patients surveyed would recommend Perio Protect.
Add to your caseload without adding to your expenses.
There’s no equipment to purchase, no new team members required and no storage necessary. Instead, the Perio Protect Method allows you to refer periodontal disease cases in house and grow the reputation of your practice. Training is simple, and the upside is almost immediately evident.
Put down the scalpel and pick up more clientele.
Patients are looking for alternative treatments for gum disease, and they could be looking for your practice. Local, regional and national marketing efforts encourage potential patients to talk to their dentist about gum disease and search our website to find a provider who can help.

Learn more about the method and the science behind it, or take the next step toward delivering results to your patients and your practice by becoming a provider.